Euro dental centar

Naši radovi:

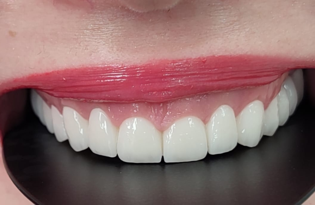
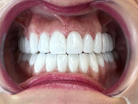
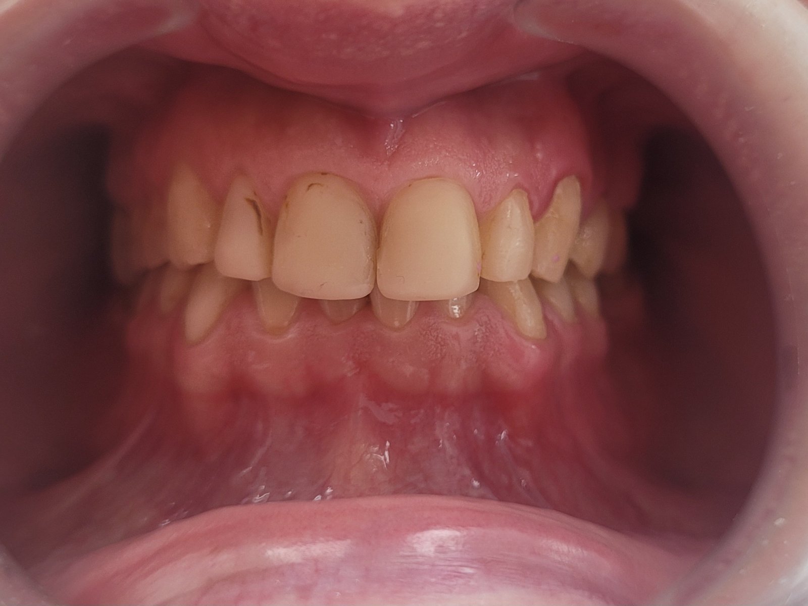
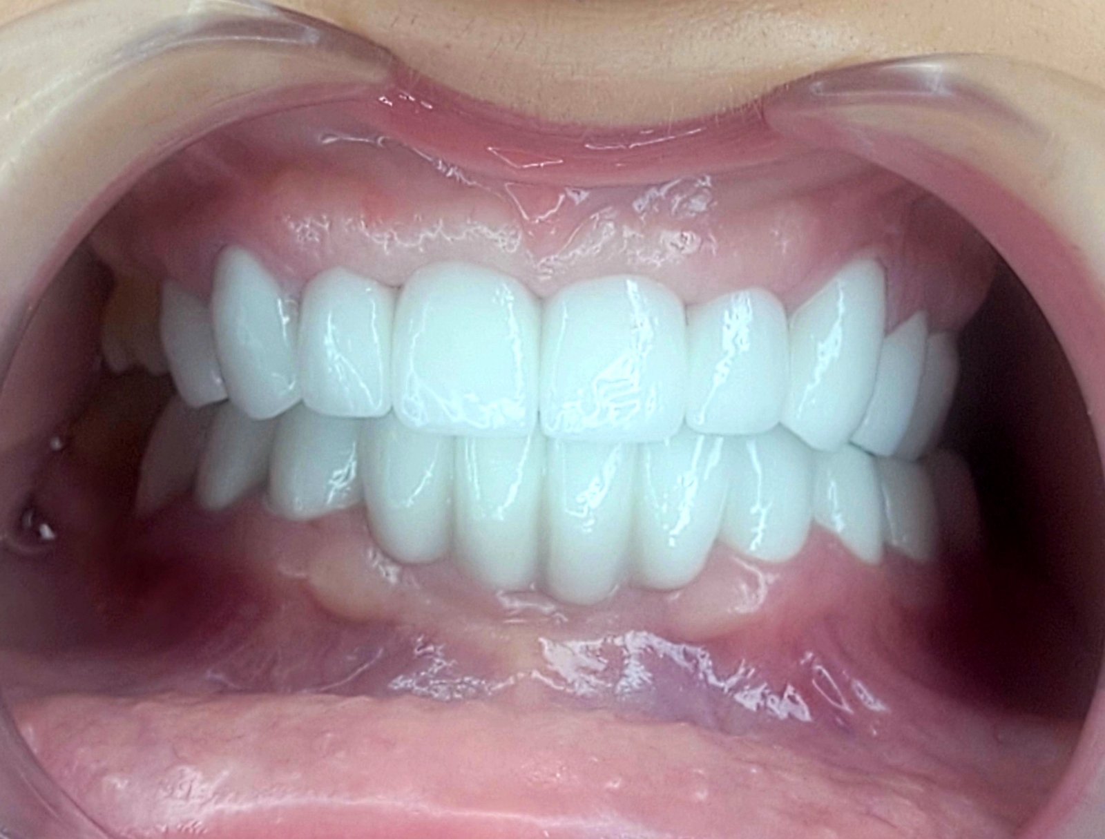
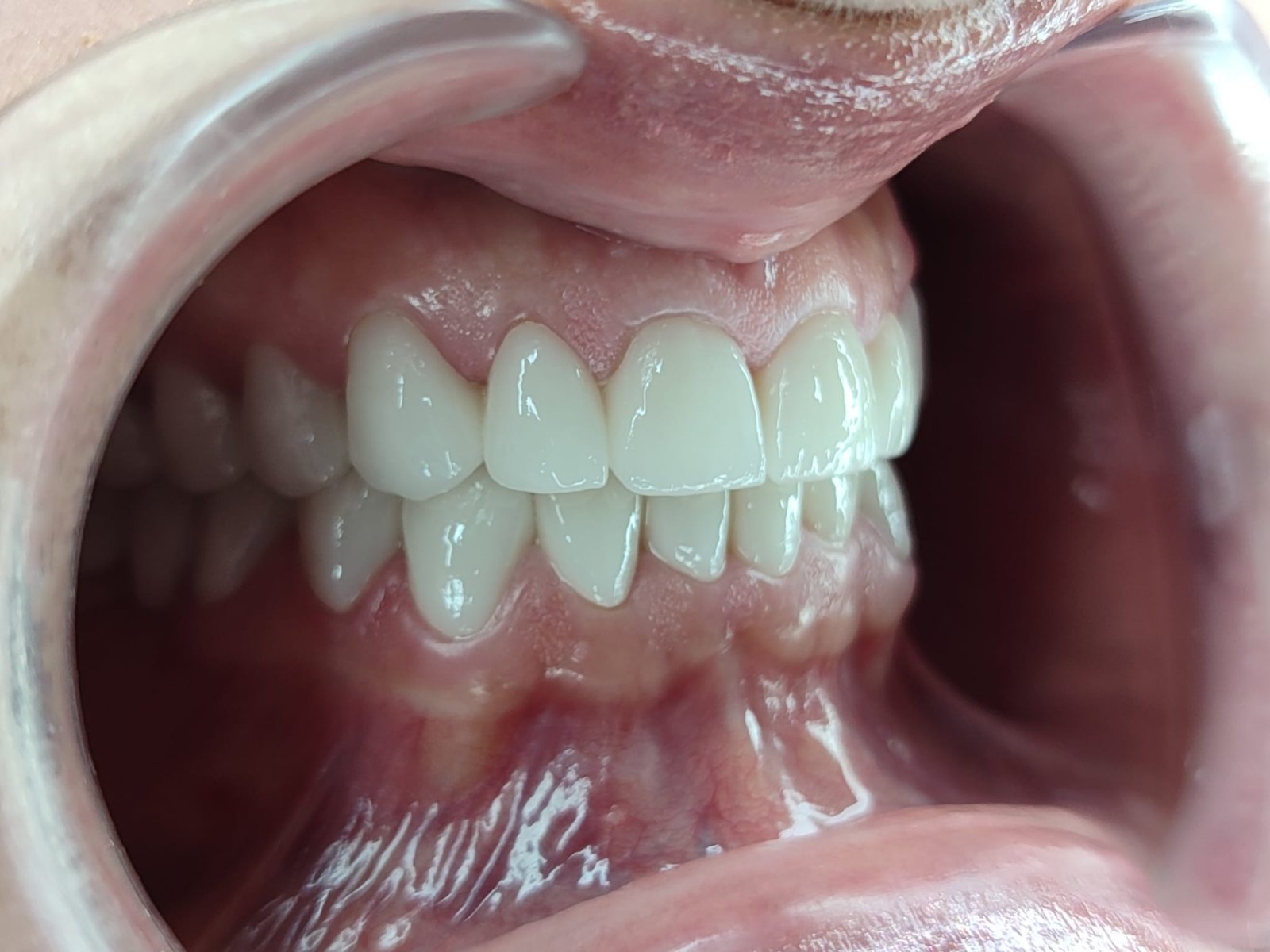
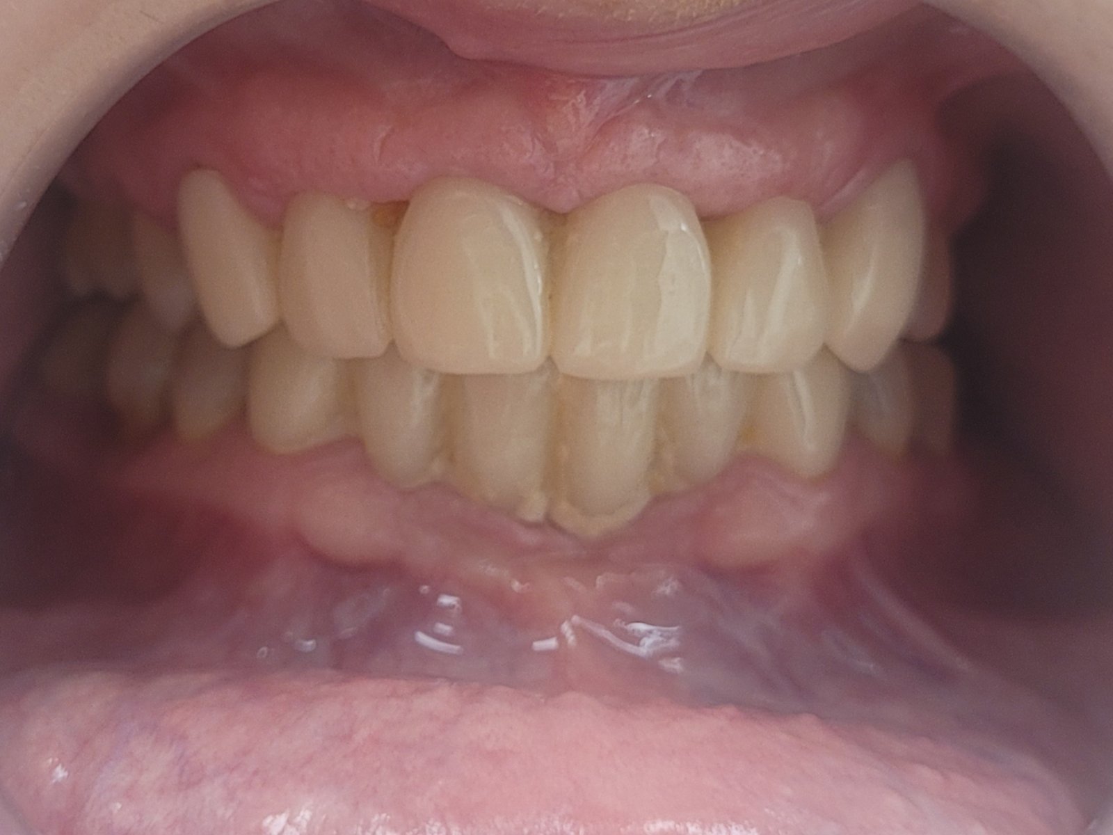
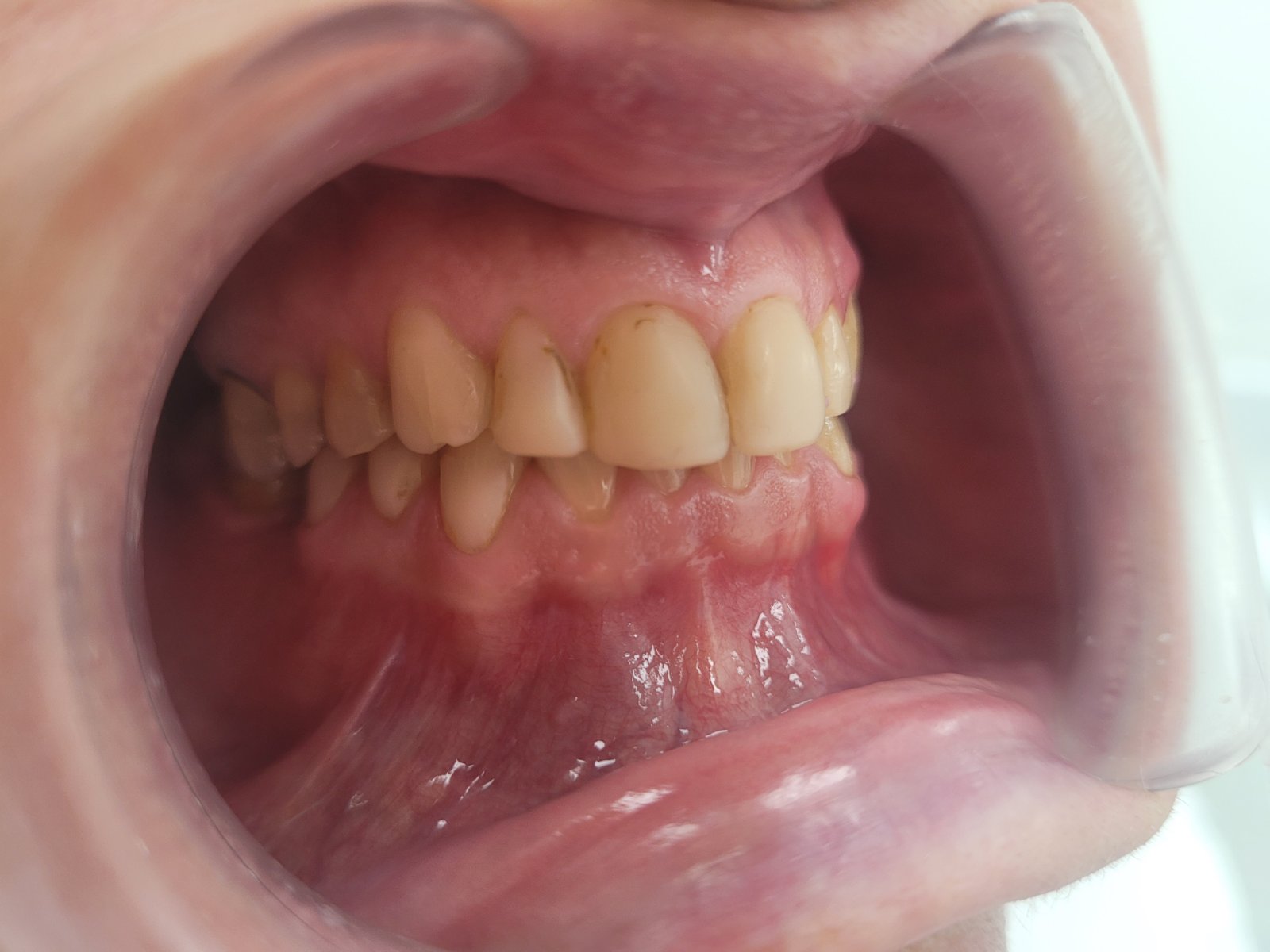
Stomatološka ordinacija Euro Dental Centar Sarajevo vam prezentira nekoliko svojih radova koje smo zabilježili prilikom rada. (implantati, cirkonske navlake, porculanske navlake, proteze, izbjeljivanje zuba…) Ovdje možete jasno da vidite nevjerovatnu transformaciju izgleda zuba kod naših pacijenata. Pogledajte kako su zubi izgledali prije posjete našoj ordinaciji i nakon što smo završili zubarsku njegu naših pacijenata. Kada pogledate galeriju radova koju smo pripremili za vas biće vam jasno zašto nas smatraju jednom od najboljih stomatoloških ordinacija u Sarajevu. Zakažite vaš pregled  i uvjerite se u kvalitet koji pruža zubarska ordinacija Euro Dental Centar Sarajevo.

Euro Dental Centar Sarajevo je moderna stomatološka ordinacija od povjerenja i kvaliteta. Nudimo vrhunsku i povoljnu zubarska njegu. Stomatološka ordinacija Euro Dental Centar Sarajevo je moderno opremljena ordinacija, a nalazi se u samom centru Sarajeva, na Skenderiji. Zakažite jednostavno online Vaš besplatan pregled!

viber_image_2026-02-17_22-21-27-317 viber_image_2026-02-17_22-21-14-410
viber_image_2026-02-17_22-21-56-620 viber_image_2026-02-17_22-22-21-161
viber_image_2026-02-17_22-24-39-749 viber_image_2026-02-17_22-23-53-775
viber_image_2026-02-17_22-25-01-729 viber_image_2026-02-17_22-26-46-215
prije-sli-2 poslije-sli-2-f
prije-sli-1 poslije-sli-1
prije-ed-centar poslije-ed-centar
prije-eurodentalcentar2024-f poslije-eurodentalcentar2024
prije-eurodentalcentar-n poslije-eurodentalcentar-n
prije-edc3004-1 poslije-edc3004
prije-z-eurodental-centar3004 poslije-z-eurodental-centar3004
prije-edc-1 poslije-edc2
prije1910-1 poslije1910-f
eurodental-prije2-f eurodentalposlije2
prije-eurodental-new poslije-eurodental-new
prije-eurodental-new2aa poslije-eurodental-new2
prije-eurodental-nn1 poslije-eurodental-nn2-fff
prije-final-edc-1 poslije-fina-edc-2
prije-eurodental-centar-br11 poslije-edc-f-jpg
prije-hh poslije14062022-A
1-prije 4-poslije
prije1-537x955 poslije1-537
euro-dental-centar-sarajevo-navlake-cirkon-rad2 euro-dental-centar-sarajevo-navlake-cirkon-rad2
@euro-dental-centar-sarajevo-nasi-radovi---prije-A1 @euro-dental-centar-final-br1-dr-selma
@euro-dental-centar-sarajevo-nasi-radovi-prije-Aa1 @euro-dental-centar-sarajevo-nasi-radovi-poslije-Aa1
@euro-dental-centar-sarajevo-nasi-radovi-prije-B @euro-dental-centar-sarajevo-nasi-radovi-poslije-B
@euro-dental-centar-sarajevo-nasi-radovi-prije-C @euro-dental-centar-sarajevo-nasi-radovi-poslije-C
@euro-dental-centar-sarajevo-nasi-radovi-prije-D @euro-dental-centar-sarajevo-nasi-radovi-poslije-D
@euro-dental-centar-sarajevo-nasi-radovi-prije-F @euro-dental-centar-sarajevo-nasi-radovi-poslije-F
@euro-dental-centar-sarajevo-nasi-radovi-prije-G @euro-dental-centar-sarajevo-nasi-radovi-poslije-G
@euro-dental-centar-sarajevo-nasi-radovi-prije-H @euro-dental-centar-sarajevo-nasi-radovi-poslije-H
@euro-dental-centar-sarajevo-nasi-radovi-prije-I @euro-dental-centar-sarajevo-nasi-radovi-poslije-I
zubiprije1 zubiposlije2
prije2 kasnije2
euprije-pon1 euposlije-2fgo